환자를 위하는
바른 생각으로
바른 결과를
만듭니다.
YEONSEI SKY DENTAL HOSPITAL
한 자리에서 10년,
전국 약 1% 병원
연세스카이
치과병원입니다.
(구) 연세스위트치과병원
  • 보건복지부 지정
    2차 의료기관
  • 연세대학교 출신
    전문의 의료진 진료
  • 한국소비자만족지수
    4년 연속 1위
연세대출신 분과별 전문의
협진 진료
를 이천에서 경험하세요.
YEONSEI SKY
한 자리에서 10년, 더 나은
치과 진료를 고민하는
연세스카이 분과별
5인 의료진

소개합니다.
YONSEI SKY DENTAL HOSPITAL
연세스카이치과병원
진료과목
건강한 치아를 위해
모든 순간을 함께하겠습니다.
치과 진료를 넘어, 치아에 관한 모든 것
연세스카이치과병원 YOUTUBE
yonseiskyhospital
연세스카이치과병원
(구)연세스위트에서 상호명 변경한
"연세스카이치과병원"입니다😊

연세대 출신의 분과별 협진 진료를
한 곳에서 경험하세요!
IMPLANT
연세스카이
임플란트
수 많은 케이스로 증명된 결과,
의료진의 선택이 결과의 차이입니다.
어려운 케이스의 임플란트도
더 나은 치료의 길을 추구합니다.
풍부한 임상 경험과 섬세한
기술력을 보유한
연세스카이
대표원장님의 성공적인
임플란트 진료를 보장합니다.
불편하고 아픈 틀니는 이제 그만!
연세스카이
전체 임플란트
치아를 상실하였을 때 틀니만이 정답이 아닙니다.
아직도 불편하고
아픈 틀니를 사용하신다면
연세스카이 전체 임플란트를 만나 보실 때 입니다.
두려움으로부터 해방!
연세스카이
수면 임플란트
불편함, 치과 진료의 두려움으로 치료를
망설이고 계신가요?
가수면 상태에서 진행되는
보다 편안한 진료를 연세스카이에서 경험하세요.
수준 높은 실력이 필요한,
연세스카이
재수술 임플란트
고난이도 임플란트도 자신 있는
연세스카이치과병원입니다.
두 번의 실패로
반복되지 않도록 정밀한 진단으로 문제점을
정확히 파악하겠습니다.
부담을 줄이고 씹는 즐거움을 느끼세요!
연세스카이
보험 임플란트
치아 상실 방치한다면 심각한 부작용으로
이어질 수 있는데요.
65세 이상이라면, 건강보험
혜택을 적용한 보험 임플란트를 만나보세요.
당신의 치아고민,
연세스카이치과병원이 함께하겠습니다!
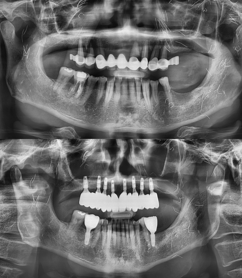
임플란트 전/후
실제 케이스
성공적인 임플란트 치료는 세밀한 분석과
그에 맞는 치료가 중요하기에
다수의 치료 경험을
보유한 의료진이 상주한 곳에서 시작하시기 바랍니다.
로그인 후 모든 치료후기를 살펴보세요.
임플란트
환자 성함 : 강**
치료기간 : 2023.05 - 2023.12 (7개월)
로그인 후 모든 치료후기를 살펴보세요.
임플란트
환자 성함 : 권**
치료기간 : 2023.06 - 2024.07 (1년 1개월)
로그인 후 모든 치료후기를 살펴보세요.
임플란트
환자 성함 : 김**
치료기간 : 2023.05 - 2024.06 (1년 1개월)
로그인 후 모든 치료후기를 살펴보세요.
임플란트
환자 성함 : 김**
치료기간 : 2023.05 - 2024.05 (1년)
로그인 후 모든 치료후기를 살펴보세요.
임플란트
환자 성함 : 김**
치료기간 : 2023.05 - 2024. 09 (1년 4개월)
로그인 후 모든 치료후기를 살펴보세요.
임플란트
환자 성함 : 김**
치료기간 : 2023.06 - 2024.12 (1년)
로그인 후 모든 치료후기를 살펴보세요.
임플란트
환자 성함 : 김**
치료기간 : 2023.05 - 2024.10 (1년 5개월)
로그인 후 모든 치료후기를 살펴보세요.
임플란트
환자 성함 : 남**
치료기간 : 2024.05 - 2024.12 (7개월)
로그인 후 모든 치료후기를 살펴보세요.
임플란트
환자 성함 : 박**
치료기간 : 2023.12 - 2024.11 (11개월)
로그인 후 모든 치료후기를 살펴보세요.
임플란트
환자 성함 : 안**
치료기간 : 2023.04 - 2023.12 (8개월)
로그인 후 모든 치료후기를 살펴보세요.
임플란트
환자 성함 : 오**
치료기간 : 2023.01 - 2024.01 (1년)
로그인 후 모든 치료후기를 살펴보세요.
임플란트
환자 성함 : 원**
치료기간 : 2024.02 - 2024.10 (8개월)
로그인 후 모든 치료후기를 살펴보세요.
임플란트
환자 성함 : 장**
치료기간 : 2023.11 -24.11 (1년)
로그인 후 모든 치료후기를 살펴보세요.
임플란트
환자 성함 : 하**
치료기간 : 2023.03 - 2024.01 (10개월)
로그인 후 모든 치료후기를 살펴보세요.
임플란트
환자 성함 : 한**
치료기간 : 2023.02 - 2023.11 (9개월)
orthodontic
연세스카이
치아교정
만족도 높은 치료 결과
본연의 아름다움을 되찾아드립니다.
왜 많은 사람들이
연세스카이 치아교정
선택할까요?
오랜 시간 함께하는 치아교정, 연세대 출신 교정과
전문의가 진단부터
사후관리까지 책임진료 하는 것이
연세스카이 교정의 핵심입니다.


본연의 아름다움을 만들어 낼 수 있도록
구강 상태에 따른 맞춤 교정 치료를 약속드리겠습니다.
  • 교정과 전문의 책임진료
  • 섬세하고 정교한 협진 진료
  • 3D 디지털 장비를 활용한 정밀진단
균형에서 피어나는 얼굴의 조화
연세스카이
교정종류
  • 클리피씨 교정
  • 인비절라인
  • 데이먼 클리어
클리피씨 교정
가성비가 좋고 자가결찰 방식으로
통증이 적으며 치아 배열이
빠르게 이루어집니다.
Clippy-C
인비절라인
미국 FDA 승인을 받은 투명 장치를 활용하여
안전하고 심미성이 우수하여
맞춤 교정치료가 가능합니다.
Invisalign
데이먼 클리어
뚜껑까지 전부 치아색과 유사한 세라믹으로
이루어져 있어 티 나지 않는 자연스러운
교정이 가능합니다.
damon clear
빠른 길 보다는 바른길을 추구하는
나의 평생 치아주치의와
[올바른 선택]
시작하세요
당신의 치아고민,
연세스카이치과병원이 함께하겠습니다!
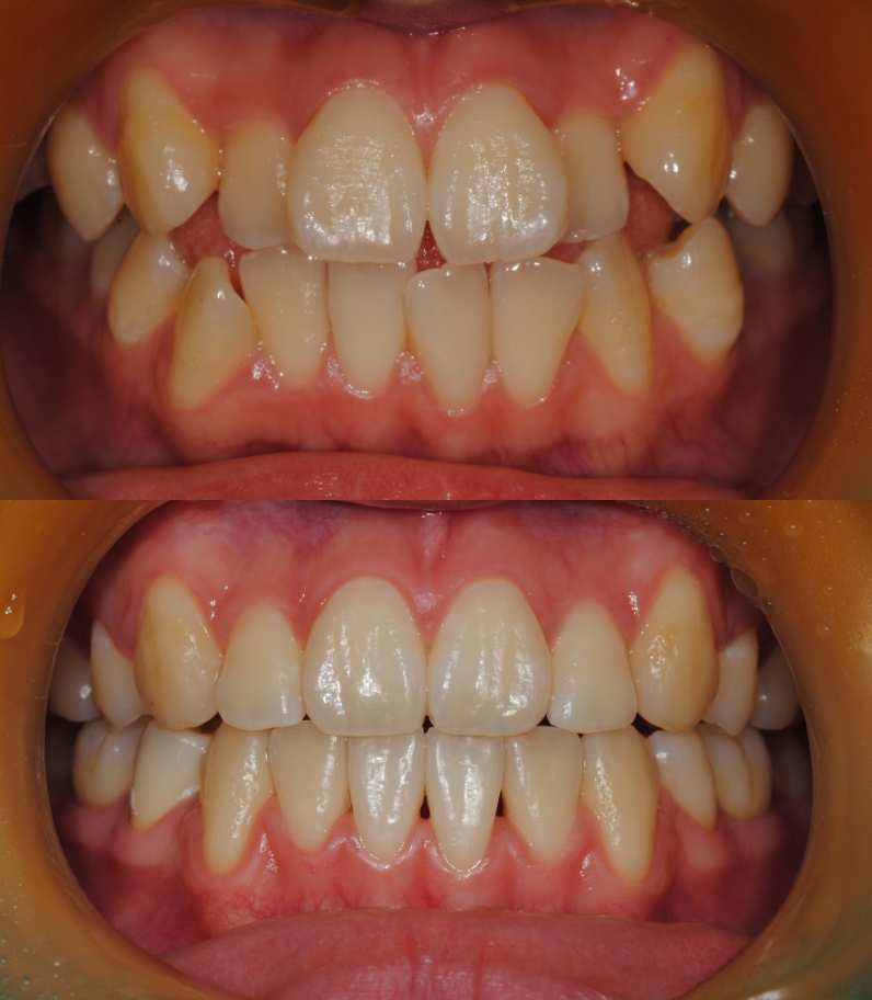
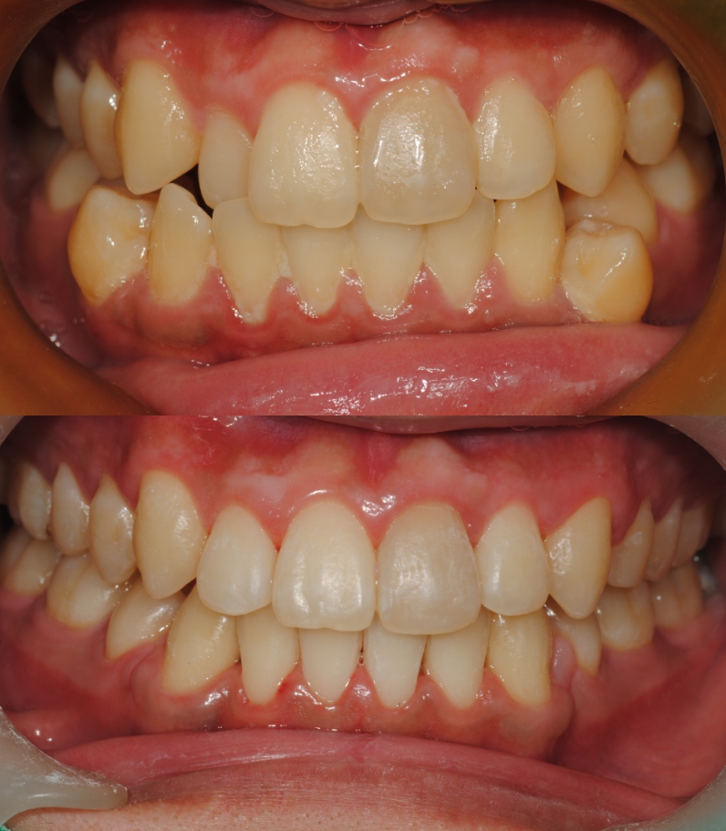
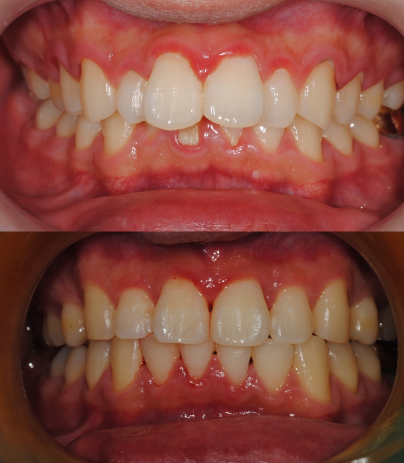
치아교정 전/후
실제 케이스
소아 교정부터 성인 교정까지 환자분들의
상황과 상태에 맞는
올바른 치료를 위해
끊임 없이 연구하고 고민합니다.
로그인 후 모든 치료후기를 살펴보세요.
치아교정
치료기간 : 2023.05 - 2023.12 (7개월)
로그인 후 모든 치료후기를 살펴보세요.
치아교정
치료기간 : 2023.06 - 2024.07 (1년 1개월)
로그인 후 모든 치료후기를 살펴보세요.
치아교정
치료기간 : 2023.05 - 2024.06 (1년 1개월)
로그인 후 모든 치료후기를 살펴보세요.
치아교정
치료기간 : 2023.05 - 2024.05 (1년)
로그인 후 모든 치료후기를 살펴보세요.
치아교정
치료기간 : 2023.05 - 2024. 09 (1년 4개월)
로그인 후 모든 치료후기를 살펴보세요.
치아교정
치료기간 : 2023.06 - 2024.12 (1년)
로그인 후 모든 치료후기를 살펴보세요.
치아교정
치료기간 : 2023.05 - 2024.10 (1년 5개월)
로그인 후 모든 치료후기를 살펴보세요.
치아교정
치료기간 : 2024.05 - 2024.12 (7개월)
로그인 후 모든 치료후기를 살펴보세요.
치아교정
치료기간 : 2023.12 - 2024.11 (11개월)
로그인 후 모든 치료후기를 살펴보세요.
치아교정
치료기간 : 2023.04 - 2023.12 (8개월)
로그인 후 모든 치료후기를 살펴보세요.
치아교정
치료기간 : 2023.01 - 2024.01 (1년)
로그인 후 모든 치료후기를 살펴보세요.
치아교정
치료기간 : 2024.02 - 2024.10 (8개월)
로그인 후 모든 치료후기를 살펴보세요.
치아교정
치료기간 : 2023.11 -24.11 (1년)
로그인 후 모든 치료후기를 살펴보세요.
치아교정
치료기간 : 2023.03 - 2024.01 (10개월)
로그인 후 모든 치료후기를 살펴보세요.
치아교정
치료기간 : 2023.03 - 2024.02 (11개월)
YEONSEI SKY DENTAL HOSPITAL
환자의 안전을
최우선으로
기본적인 부분도
놓치지 않고
예방합니다.
10 YEARS
이천시 유일의 치과병원,
연세스카이치과병원
  • 2010년부터 운영된
    탄탄한 치과병원
    약 10년 동안 이천 한 자리에서 신뢰 있는 모습으로
    환자분들의 치아 고민에 한 발짝 더 가까워지겠습니다.
  • 체계적인 연세대출신
    의료진 진료
    어떠한 어려운 케이스라도 노하우와 경험을 바탕으로
    안정적인 분과별 협진 진료가 가능합니다.
연세스카이치과병원을
방문해주시는
환자분들의 증명된 후기
전국 모든 치과 중
[약 1%]
2차 의료기관인
치과병원에 해당합니다.
연세스카이치과병원은 정부 평가 기준을 충족하여
보건복지부 허가를 받고 설립된 치과병원 입니다.
보다 전문적이고 체계적인 진료로
건강한 치아를 되찾아드리겠습니다.
축적된 노하우와 경험을 담은
이천, 연세스카이치과병원
경기 이천시 중리천로 57 이천 CGV 3층
031)636.7522
  • 오전 10:00 – 오후 07:00
  • 오전 09:30 – 오후 02:30
  • 오전 10:00 – 오후 08:30
  • 오후 01:00 – 오후 02:00
* 일요일, 공휴일 휴진 ㅣ 토요일 점심 시간 없이 진료 시행
상담신청하기
[약관보기]

문의 및 상담하기

031.636.7522